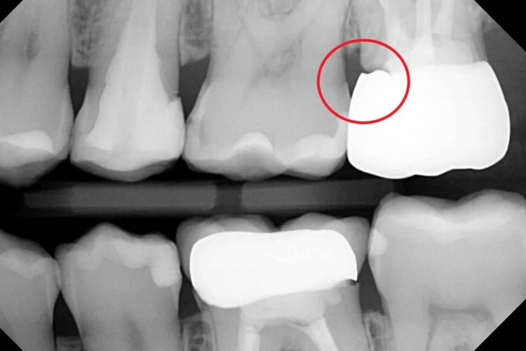
A dental crown overhanging margin happens when the edge of a dental crown extends slightly beyond the natural tooth surface instead of sitting flush against it. This creates a small ledge that is often difficult to clean properly, and it allows plaque and bacteria to accumulate over time.
Patients usually do not notice it immediately after crown placement. However, as bacteria build up around the margin, it can lead to gum irritation, bleeding, bad breath, and even decay under the crown. In more advanced cases, it may affect the stability of the tooth itself and require replacement of the crown.
What Is a Dental Crown Overhanging Margin?
A dental crown is designed to fully cover a damaged or weakened tooth while maintaining a smooth transition between the crown and natural tooth structure. When the margin is overhanging, it means that part of the crown extends beyond where the tooth naturally ends.
How a properly fitted crown should function
A properly fitted crown is designed to mimic the natural tooth shape as closely as possible. It should:
- Fit tightly and evenly along the tooth surface
- Allow floss to slide smoothly without catching or shredding
- Maintain a stable and healthy gum line
When all of these conditions are met, the crown functions like a natural tooth.
Why overhanging margins are a concern
When a crown has an overhang, it creates a microscopic ledge where bacteria can easily accumulate. Patients often cannot clean this area effectively at home, even with proper brushing and flossing.
Over time, this leads to:
- Plaque buildup that hardens into tartar
- Gum irritation and inflammation
- Increased bacterial activity around the tooth
- Higher risk of secondary decay under the crown
If you are experiencing issues such as a dental crown falling off or you want to understand more about dental crown glue and how crowns are re-cemented, these related topics can help you know what steps to take next and when you should seek professional dental care.
What Causes a Dental Crown Overhanging Margin?
A crown overhang is not caused by patient behavior but by technical factors during dental treatment. It usually originates during the impression, design, or placement phase.

Impression or scanning errors
Before a crown is made, the dentist takes a digital scan or physical impression of the tooth. If this step is slightly inaccurate, the final crown may not match the tooth’s exact shape. Even small distortions can lead to margin misalignment.
Laboratory fabrication issues
Dental crowns are manufactured in specialized labs. If the crown is slightly over-contoured during fabrication, the margin may extend beyond the tooth surface. This is one of the most common technical causes.
If you are exploring other treatment options and want to understand alternatives to dental crowns, you can learn more about suitable restorative choices that may better match your dental condition and oral health needs.
Cementation and placement problems
During placement, the crown must sit perfectly on the prepared tooth. If excess cement is left behind or the crown is not fully seated, it can create a false overhang that irritates the gum tissue.

Common Symptoms Patients May Notice
One of the challenges with this condition is that it often develops without immediate pain, which is why patients may not realize there is a problem until inflammation begins.
Gum inflammation near the crown
The gum tissue around the affected crown may appear red, swollen, or slightly tender. Patients may also notice bleeding when brushing or flossing the area. If you are considering a crown and want to learn about the best materials for dental crowns, you can explore the different options available and how each material affects durability, appearance, and long-term oral health outcomes.
Food trapping and bad breath
Because the margin creates a small space, food particles can become trapped. This contributes to bacterial growth, which may lead to persistent bad breath even with regular oral hygiene.
Sensitivity or discomfort when chewing
If bacteria begin to affect the underlying tooth, patients may experience sensitivity to pressure, temperature changes, or chewing on that side of the mouth.
For more information on crown durability and lifespan, you can also read Healthline’s guide on how long dental crowns last and the factors that influence their longevity from a trusted medical perspective.
Dental Crown Overhanging Margin Treatment
Treatment depends on how severe the overhang is and whether it has already caused damage:
- Minor crown adjustment: If the overhang is small, the dentist may be able to smooth or polish the crown edge to reduce irritation and plaque buildup.
- Crown replacement: If the crown does not fit properly or if decay is present underneath, replacing the crown is often the most reliable long-term solution.
- Gum and tooth treatment: If inflammation or infection has developed, additional treatment may be required to restore gum health before or after correcting the crown.

If you want to better understand your options, you can explore the different types of dental crowns and how each one is designed to meet specific functional and aesthetic needs.
Restore Your Smile with Expert Dental Crown Care!
Woodbridge Smile Centre offers comprehensive assessments, crown repairs, gum care, and emergency appointments to support your oral health. Book your consultation today!
How Dentists Diagnose a Crown Overhang
At Woodbridge Smile Centre, conveniently serving Woodbridge and the surrounding areas, diagnosis is not based only on symptoms but on a structured clinical evaluation.
The dentist examines the crown using dental instruments and floss to check for irregular edges. They also observe how the gum tissue reacts during cleaning. X-rays provide a deeper view beneath the crown. They help identify:
- Hidden decay under the crown
- Bone loss or gum changes
- The exact position of the crown margin
This ensures the diagnosis is accurate and not based only on surface symptoms. For patients who are also interested in improving the appearance of their smile, you can explore the latest cosmetic dentistry trends to understand how modern treatments combine aesthetics with long-term oral health and precision planning.
This article is reviewed by Dr. Aryan Rezaeifar, DDS, a member of the Royal College of Dental Surgeons of Ontario at Woodbridge Smile Centre. With over 10 years of experience, he provides diagnosis and treatment for dental crown issues, including overhanging margins, using reliable and evidence-based care.
Protect your oral health by addressing the dental crown overhanging margin early
A dental crown overhanging margin may seem like a minor issue, but it can lead to gum irritation, plaque buildup, and decay beneath the crown if not treated in time. Early diagnosis and proper correction help preserve your tooth, maintain healthy gums, and prevent more complex dental problems in the future.
Along with diagnosing and treating crown-related issues, Woodbridge Smile Centre offers a full range of dental services, including emergency care, routine checkups, dental veneers, and Invisalign treatment, all conveniently available in Woodbridge and Vaughan.
Disclaimer: This content is for educational purposes only and does not replace dental examination, diagnosis, or treatment. Patients experiencing severe pain, bleeding, swelling, or dental trauma are prioritized for urgent care. After hours, patients should seek care at their nearest hospital emergency department.
FAQ
What is a dental crown’s overhanging margin?
It is when the crown extends beyond the natural tooth edge, creating a ledge that traps bacteria.
Is the crown overhang painful?
Not always. Many patients only notice symptoms once inflammation or decay begins.
Can a crown overhang be fixed without replacing it?
Small cases may be adjusted, but significant overhangs usually require replacement.
What happens if I ignore it?
It can lead to gum disease, decay under the crown, and possible tooth damage.
If you have experienced gum irritation, bleeding, or discomfort around a dental crown, feel free to share your experience or questions below. Our dental team can help guide you on the next steps.





