Woodbridge Smile Centre

Gum Contouring in Woodbridge

At Woodbridge Smile Centre, we help you feel confident in every smile. If an uneven or excessive gumline is affecting the way your smile looks, gum contouring could be the solution you’ve been looking for. Our experienced dental team in Woodbridge, VA uses advanced techniques to gently reshape your gumline and reveal a more balanced, natural-looking smile with lasting results. Whether you’re dealing with a gummy smile, uneven gum tissue, or need crown lengthening for restorative reasons, we’re here to guide you through every step with care and expertise.
Monday 08:00 AM - 05:00 PM
Tuesday 08:00 AM - 05:00 PM
Wednesday 08:00 AM - 05:00 PM
Thursday 08:00 AM - 05:00 PM
Friday 08:00 AM - 05:00 PM
Saturday 08:00 AM - 01:00 PM
Sunday Closed

Book Your Dental Appointment

healthy gums

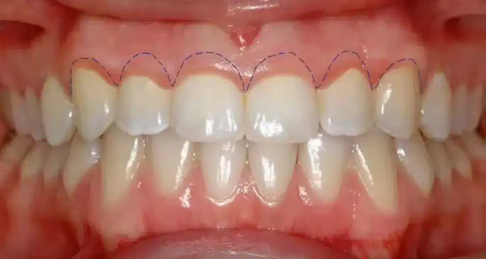
What Is Gum Contouring? Signs You May Be a Candidate

Gum contouring is a cosmetic and restorative dental procedure that reshapes the gumline to create a more balanced, natural-looking smile. Also known as a gum lift, it involves carefully removing or repositioning excess gum tissue to expose more of the tooth surface or even out an irregular gumline. At Woodbridge Smile Centre, we use precise, minimally invasive techniques tailored to your unique smile.

You may be a candidate if you experience:

  • A gummy smile where your gums appear too prominent
  • An uneven or asymmetrical gumline
  • Teeth that look shorter than normal due to excess gum tissue
  • Receded gums that make certain teeth appear longer than others
  • A recommendation for crown lengthening as part of your treatment plan

How the Gum Lift Procedure Works?

At Woodbridge Smile Centre, our gum lift procedure is straightforward, comfortable, and completed in a single visit in most cases. Here is what you can expect:

Consultation and Planning

We begin with a thorough examination of your gumline and discuss your smile goals. Our dental team maps out the ideal gumline shape that suits your facial features and tooth proportions.

Local Anaesthesia

Before the procedure begins, we apply a local anaesthetic to ensure you remain completely comfortable throughout your treatment with minimal discomfort.

Gum Reshaping

Using precise dental tools, we carefully remove or reposition excess gum tissue to reveal more of your natural tooth surface and create a balanced, even gumline.

Final Review

Once reshaping is complete, we review the results with you to ensure the outcome matches your expectations before you leave the clinic.

Recovery

Most patients experience only mild tenderness for a few days following the procedure. We provide clear aftercare instructions to support a smooth and comfortable recovery.

Real Benefits of Gum Contouring & Crown Lengthening for Your Smile

Gum contouring and crown lengthening offer benefits that go beyond aesthetics. At Woodbridge Smile Centre, patients enjoy a more balanced and symmetrical smile, improved self-confidence, and better oral hygiene as excess gum tissue no longer traps bacteria or makes cleaning difficult. Crown lengthening also supports restorative treatments by exposing more tooth structure for secure crown or veneer placement. Best of all, results are long-lasting since reshaped gum tissue does not grow back, and most treatments are completed in a single visit with minimal downtime.

Gum Contouring in Woodbridge

Gum Lift vs. Gingivectomy: Which Procedure Is Right for You?

FeatureGum Lift (Gum Contouring)Gingivectomy
PurposeReshape and reposition the gumline for cosmetic or restorative reasonsRemove diseased or overgrown gum tissue for health reasons
Primary GoalAesthetic improvement and smile balanceTreating gum disease or excessive gum growth
Best ForGummy smiles, uneven gumlines, crown lengtheningPeriodontal disease, gum overgrowth from medication
Procedure TypeCosmetic and restorativePrimarily therapeutic
Tissue RemovedExcess healthy gum tissueInfected or overgrown gum tissue
Recovery TimeMild tenderness for a few daysSlightly longer depending on the extent of tissue removed
ResultsLong-lasting cosmetic and functional improvementImproved gum health and reduced infection risk
AnaesthesiaLocal anaestheticLocal anaesthetic

Why Woodbridge Patients Trust Us

Our patients trust us because we combine clinical expertise with a genuinely patient-first approach. Here is what sets us apart:
Experienced Dental Team: Our dentists have extensive hands-on experience performing gum contouring and crown lengthening procedures with consistent, natural-looking results.
Personalised Treatment Plans: We never take a one-size-fits-all approach. Every treatment is planned around your unique gumline, facial features, and smile goals.
Advanced, Minimally Invasive Techniques: We use precise, modern tools that minimise discomfort and reduce recovery time so you can get back to your routine quickly.
Comprehensive Consultations: We take the time to understand your concerns, walk you through your options, and make sure you feel fully informed before any treatment begins.
A Comfortable, Welcoming Environment: From your first visit to your final review, we make sure every step of your experience feels relaxed and stress-free.
Proven Patient Satisfaction: Our patients leave with smiles they feel confident about, and many return for their ongoing dental care and refer friends and family to our clinic.
Dr. Aryan Rezaeifar
Dr. Aryan Rezaeifar, D.D.S. performs gum contouring at Woodbridge Smile Centre with a precise and patient-focused approach to creating balanced, natural-looking gumlines. With over ten years of clinical experience in cosmetic and restorative dentistry and membership in both the Royal College of Dental Surgeons of Ontario (RCDSO) and the Ontario Dental Association (ODA), Dr. Rezaeifar uses advanced gum reshaping techniques to improve smile symmetry, reduce gummy smiles, and enhance overall oral aesthetics while maintaining healthy gum tissue.

Frequently Asked Questions

You may be a good candidate if you have a gummy smile, an uneven or asymmetrical gumline, or teeth that appear shorter than normal due to excess gum tissue. A consultation with our dental team will confirm whether gum contouring is right for you.

Both terms refer to the same procedure. If your concern is cosmetic such as an uneven or excessive gumline, gum contouring is the right treatment. If it is health-related such as gum disease or overgrowth, a gingivectomy may be recommended instead.

The cost varies depending on the extent of treatment and the number of teeth involved. We provide a full breakdown of costs during your consultation so you know exactly what to expect with no surprises.

Most patients experience little to no discomfort during the procedure as local anaesthesia is used throughout. Some mild tenderness may occur in the days following treatment, which typically resolves quickly.

Yes. Once gum tissue is reshaped it does not grow back, making gum contouring a long-lasting solution for a more balanced and confident smile.

Cosmetic gum contouring is generally not covered by dental insurance. However, crown lengthening performed for restorative reasons may be partially covered. We recommend checking with your provider and our team can help guide you through your options.