If you are using dentures, you’d better know about some problems they can cause. Because of poor oral hygiene, ill-fitting dentures, or allergic reactions, dentures may create ulcers, inflammation, painful spots, and other issues that can make visiting an emergency dentist necessary. In the upcoming sections, we are going to show you some pictures of denture sores that can help you identify different types of them.
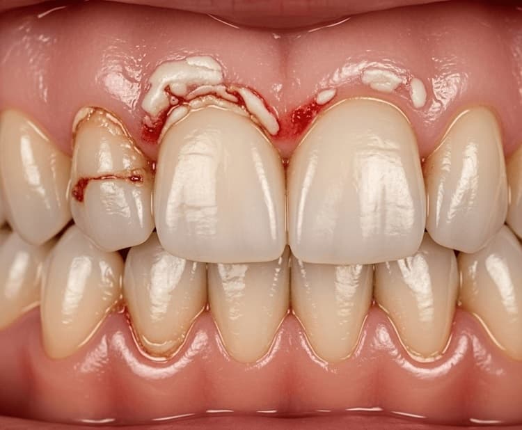
Visual Guide: Pictures of Denture Sores
With the help of these pictures, you can see denture sores, so you are able to differentiate between them and other oral issues.




Different Types of Denture Sores
Here you can see a table that will help you identify denture sores, as well as their causes, appearances, and common locations.
| Type of Denture Sore | Cause | Appearance | Common location |
| Pressure sore | Excessive pressure from a poor denture fit or an uneven bite | Small, painful ulcer with a red base, sometimes whitish outline | Along denture-bearing ridges or thin mucosa |
| Frictional sore | Denture movement or rubbing during friction | Red, raw, inflamed patch without deep ulceration | Inner cheeks, lips, flanges of denture |
| Denture stomatitis | Continuous wear (esp. sleeping with dentures) and poor hygiene | Diffuse redness under denture, often painless, may burn | Palate under the upper denture |
| Epulis fissuratum | Chronic overextended flange rubbing in the vestibule | Fold(s) of excess fibrous tissue with a groove from the flange | Along the vestibule, especially anterior |
| Angular cheilitis | Saliva pooling at the mouth corners, Candida or bacterial infection, loss of vertical dimension from worn dentures | Red, cracked, sore lesions at the mouth corners | Labial commissures |
| Papillary hyperplasia | Continuous wear + poor hygiene, often with Candida | Pebbly, red mucosa (multiple papules) | Mid-palate under the upper denture |
If you are missing teeth and considering options beyond dentures, you may also want to explore different options to replace missing tooth.
How to Identify Denture Sores from Other Oral Issues
If soreness occurs where the dentures make direct contact, it’s usually denture-related, often from mechanical trauma. However, if discomfort continues even after removing dentures, it may point to infections or more serious conditions. Generally, if the soreness improves once dentures are removed, they are the likely cause; but if it persists or worsens, other oral issues should be considered.
Persistent sores could be a sign that it’s time to consider a more permanent solution, such as dental implants for missing teeth.
Common Causes of Denture Sores

Dentures can irritate because of poor fit and uneven pressure points. If you wear dentures all day long, it will put constant pressure on the tissue and promote fungal growth, so try removing them from time to time. If you don’t clean your dentures daily, it can be a great place for bacteria and fungi. Also, some people are sensitive to the material used in the dentures and experience diffuse redness and burning.
Concerned About Dental Sores or Your Oral Health?
At Woodbridge Smile Centre, we provide expert dental care to diagnose and treat oral issues early, ensuring your smile stays healthy and confident.
Symptoms and Signs to Look For
Let’s learn how to recognize some symptoms related to the use of dentures:
- Pain or discomfort during denture use: Feel localized pain right under the dentures? That’s it! Chewing or speaking can also be painful.
- Redness or inflammation: It matches the shape of the denture surface, and can be diffuse or localized.
- Ulceration: A shallow open sore with a red or whitish center, and painful to touch or acidic foods.
- Swelling: When the soreness gets chronic, tissue can fold and thicken.
- Changes in fit: If dentures feel unstable and loose, it means the ridge shape has changed, and there are uneven pressure points.
- Burning sensation: Usually caused by denture Stomatitis and often felt on the palate or inner cheeks.
For some patients, transitioning from dentures to implants provides a more stable, comfortable solution. Learn more about the types of dental implants that may suit your needs.
How to Treat and Prevent Denture Sores

For preventing denture sores, some things you can do are visiting your dentist to make sure your dentures fit properly, practicing good hygiene, and removing them at night. Try to fix the dentures in place with denture adhesive so that they won’t be wobbly and loose. Also, don’t forget to drink plenty of water and eat well.
Treatment options
If you couldn’t prevent denture sores and they happened, here are some options:
- Remove or adjust the dentures: Go ahead, remove the dentures and see if it makes a difference. Do they need adjustment? You can visit a dentist and address the issue.
- Address specific lesions: It really depends on what kind of lesions they are. Some require antifungal creams, while some of them need surgery.
- Soft liners for dentures: Ask your dentist to use soft liners, as they can protect your gums and reduce irritation.
Note: Don’t forget to visit your dentist regularly! You will have a better experience with dentures and prevent some problems from happening.
When to Seek Professional Help
Let’s say preventing denture sores was not successful, or you simply didn’t know about them. If the pain or infection persists or it’s affecting eating and speaking, you should visit a dentist near me. Keep an eye on swellings and signs of infection, such as pus, bleeding, or fever. Also, when there is a noticeable change in the fit of your dentures, it’s better to get them readjusted.
Protect Your Gums by Addressing Denture Sores
Getting Dentures can be a great option if you are missing a couple of teeth. They can improve the bite force and the appearance of your smile cosmetically. But, if not careful, they can cause denture sores as you saw in the pictures of denture sores.
Looking for high-quality dentures with affordable prices in Woodbridge? Experienced dentists at Woodbridge Smile Centre provide reliable services and ensure you have a great experience in a comfortable environment. Visit Dentures Woodbridge and book an appointment.
FAQ
What do denture sores look like?
As you saw pictures of denture sores, they often look like red irritated spots or ulcers on the gums and under the denture.
What medication is good for denture sores?
You can use some over-the-counter ointments and gels to reduce inflammation and relieve pain. In case of fungal infection, your dentist may prescribe antifungal medications as needed.
Should I wear my dentures if they hurt?
No, Pain shows that your dentures are not fitting properly. Take a break from wearing them and visit your dentist for an adjustment.
Is Bonjela good for sore gums from dentures?
It can be used to temporarily relieve pain and irritation, but it’s not a cure. You should visit a dentist for proper treatment and denture adjustment.
Can you get sores from dentures?
Yes, dentures can sometimes cause sores. This usually happens when they don’t fit properly, creating friction and pressure on the gums. If not addressed, these sores may become painful or even infected.
What are the oral lesions with dentures?
Oral lesions from dentures include sore spots, ulcers, and irritation in areas where the denture rubs against the soft tissues. In some cases, ill-fitting dentures may also lead to fungal infections like denture stomatitis.
What is one of the signs of ill-fitting dentures that can result in painful sores or infection?
One of the most common signs of ill-fitting dentures is persistent irritation or discomfort, often accompanied by red, inflamed areas on the gums. This irritation can develop into painful sores or even infections if left untreated.
Have you ever experienced denture sores or oral discomfort? Share your thoughts and questions in the comments below, and let’s discuss!
